Close Menu
Dois Irmãos FM
  • Home
  • Notícias
    • Brasil
    • Tocantins
    • Entretenimento
    • Politica
    • Cidade
  • Nossa Cidade
  • Locutores
  • Programação
  • Fale Conosco
Facebook Instagram WhatsApp
Dois Irmãos FM quinta-feira, 23 abril
Facebook Instagram TikTok
Pedir Música
  • Home
  • Notícias
    1. Brasil
    2. Tocantins
    3. Entretenimento
    4. Politica
    5. Cidade
    6. Ver Todas

    Batalha de Rap Macapá terá duelos de rima e venda de comidas típicas no Mercado Central

    setembro 16, 2024

    ‘Maio Amarelo’ tem ações em escolas e ruas para prevenir acidentes no trânsito no AP

    setembro 16, 2024

    Crianças autistas participam de sessão de terapia com cães do Bope em Macapá

    setembro 16, 2024

    Jacaré de 2 metros é resgatado dentro do campus do Ifap em Macapá; é o 2º animal em 17 dias

    setembro 16, 2024

    BR-153 é interditada após acidente com caminhão de combustível no norte do Tocantins

    abril 23, 2026

    IFTO abre seletiva para professores com salários de até R$ 9 mil

    abril 23, 2026

    Após vizinho chamar polícia, baterista passa a ensaiar no mato e viraliza nas redes: ‘É minha terapia’

    abril 23, 2026

    O que se sabe sobre o taxista desaparecido após sair para tomar banho em balneário no TO

    abril 22, 2026

    Drake instala ‘palácio de gelo’ no Canadá para divulgar álbum e bombeiros intervêm por segurança

    abril 23, 2026

    Músicas e texto de Chico Buarque movem com precisão a remontagem de ‘Gota d’água’ em cena em São Paulo

    abril 23, 2026

    Novo show com réplica de tubarão e mais artistas na empresa: os planos de MC Ryan SP antes da prisão

    abril 23, 2026

    GloboPop: veja como seguir o jornalismo do g1 e da Globo no novo aplicativo de vídeos

    abril 23, 2026

    Barroso autoriza Marcos Valério a cumprir pena no regime semiaberto

    setembro 16, 2024

    STF perdoa pena de mais dois condenados no mensalão do PT com base no indulto de Temer

    setembro 16, 2024

    Ministro do STF nega revisão de pena para Ramon Hollerbach no mensalão do PT

    setembro 16, 2024

    STF concede liberdade condicional à ex-presidente do Banco Rural Kátia Rabello

    setembro 16, 2024

    Drake instala ‘palácio de gelo’ no Canadá para divulgar álbum e bombeiros intervêm por segurança

    abril 23, 2026

    Músicas e texto de Chico Buarque movem com precisão a remontagem de ‘Gota d’água’ em cena em São Paulo

    abril 23, 2026

    BR-153 é interditada após acidente com caminhão de combustível no norte do Tocantins

    abril 23, 2026

    IFTO abre seletiva para professores com salários de até R$ 9 mil

    abril 23, 2026
  • Nossa Cidade
  • Locutores
  • Programação
  • Fale Conosco
Dois Irmãos FM
Home»Tocantins»Candidato faz teste físico da PM com fratura no pé e consegue aprovação: ‘Pensei que não ia conseguir’
Tocantins

Candidato faz teste físico da PM com fratura no pé e consegue aprovação: ‘Pensei que não ia conseguir’

novembro 30, 2025Nenhum comentário0 Visitas

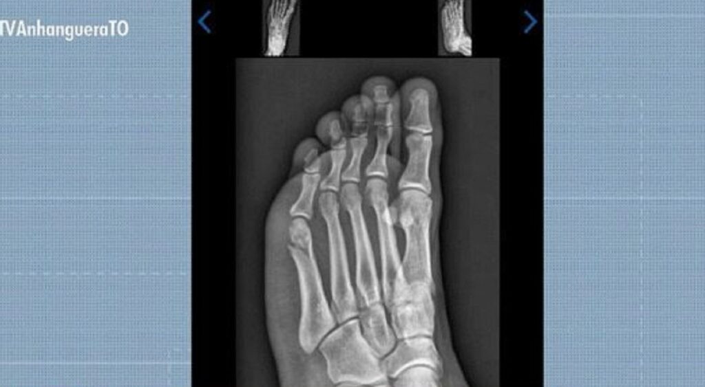
Candidato quebra pé dias antes do TAF da Polícia Militar
Um jovem concurseiro de Gurupi, no sul do Tocantins, conseguiu ser aprovado no Teste de Aptidão Física (TAF) da Polícia Militar mesmo com o pé quebrado. A prova aconteceu 30 dias após Gabriel Santos Rodrigues, de 22 anos, cair do telhado da própria casa enquanto trocava a boia da caixa d’água.
“Pensei que não ia conseguir. Consegui fazer as outras etapas, mas no dia da corrida eu estava bastante nervoso. Quando estava faltando mais ou menos 20 ou 30 segundos olhei no meu relógio e estava faltando completar uma volta de 200 metros, falei ‘ah, não vai dar’. Porque por mais que o tempo passe rápido lá na hora, tudo na sua mente passa devagar”, contou Gabriel em entrevista à TV Anhanguera.
Mesmo em dúvida se conseguiria completar a prova, Gabriel continuou, afinal já havia passado pelas outras etapas do TAF. Ele concluiu a prova faltando três segundos para o limite.
📱 Clique aqui para seguir o canal do g1 TO no WhatsApp
LEIA TAMBÉM:
Suspeita de movimetnar R$ 217 milhões com jogos ilegais, Karol Digital tem prisão convertida em domiciliar após três meses
Motorista que recebeu R$ 131 milhões por engano teve que pagar tarifa mais alta em conta após erro de banco
Filha adolescente suspeita e fuga em carro: o que se sabe sobre caso de advogado morto a facadas em Gurupi
Gabriel Santos Rodrigues foi aprovado no TAF da PMTO mesmo com fratura no pé
Reprodução/TV Anhanguera
💡 O TAF é uma das etapas existentes em concursos públicos para polícia, Corpo de Bombeiros, entre outros cargos. O exame serve para avaliar se o candidato tem condições físicas adequadas para exercer determinada função.
Os exercícios cobrados no exame dependem do edital de cada concurso. No caso da Polícia Militar do Tocantins, a avaliação envolve provas de flexão ao solo, flexão abdominal, flexão em barra fixa e corrida de 12 minutos, além de exames clínicos para atestar a capacidade física e a prontidão para o serviço.
Concurseiro concluiu prova de corrida do TAF com fratura no pé
Reprodução/TV Anhanguera
mais notícias da região no g1 Tocantins.

Fonte: G1 Tocantins

Compartilhar. Facebook Twitter Telegram Email Copy Link WhatsApp

Mais Notícias

BR-153 é interditada após acidente com caminhão de combustível no norte do Tocantins

abril 23, 20260 Visitas

IFTO abre seletiva para professores com salários de até R$ 9 mil

abril 23, 20260 Visitas

Após vizinho chamar polícia, baterista passa a ensaiar no mato e viraliza nas redes: ‘É minha terapia’

abril 23, 20260 Visitas
BANNER LOCAL LATERAL
Top Posts

Existe código de vestimenta no Grammy? Questionamento surgiu após Bianca Censori, mulher de Kanye West, aparecer nua na premiação

fevereiro 8, 202551 Visitas

Médico é suspeito de invadir carro e agredir delegado aposentado durante confusão no trânsito

setembro 19, 202438 Visitas

Lucas Lucco mostra o pênis em vídeo tomando banho, apaga post e diz ‘foi mal’

dezembro 18, 202436 Visitas

Legendários: Por que homens pagam até R$ 81 mil para subir montanha e melhorar casamento?

abril 8, 202514 Visitas
Siga-nós
Facebook Instagram YouTube WhatsApp TikTok
Nosso App
© 2026 Rádio afiliada a Farcom Tocantins - www.farcomto.org

Digite acima e pressione Enter para pesquisar. Pressione Esc para cancelar.