Close Menu
Dois Irmãos FM
  • Home
  • Notícias
    • Brasil
    • Tocantins
    • Entretenimento
    • Politica
    • Cidade
  • Nossa Cidade
  • Locutores
  • Programação
  • Fale Conosco
Facebook Instagram WhatsApp
Dois Irmãos FM sábado, 14 março
Facebook Instagram TikTok
Pedir Música
  • Home
  • Notícias
    1. Brasil
    2. Tocantins
    3. Entretenimento
    4. Politica
    5. Cidade
    6. Ver Todas

    Batalha de Rap Macapá terá duelos de rima e venda de comidas típicas no Mercado Central

    setembro 16, 2024

    ‘Maio Amarelo’ tem ações em escolas e ruas para prevenir acidentes no trânsito no AP

    setembro 16, 2024

    Crianças autistas participam de sessão de terapia com cães do Bope em Macapá

    setembro 16, 2024

    Jacaré de 2 metros é resgatado dentro do campus do Ifap em Macapá; é o 2º animal em 17 dias

    setembro 16, 2024

    Homem morre carbonizado após carro bater em caminhão e pegar fogo na BR‑153

    março 14, 2026

    Emboscada digital: entenda investigação que apontou marido como autor do assassinato de merendeira no Tocantins

    março 14, 2026

    Corpo é encontrado boiando próximo à Praia da Graciosa, em Palmas

    março 14, 2026

    Entenda investigação que levou à prisão de fazendeiro suspeito de mandar matar rival

    março 14, 2026

    Indústria de novelas do Brasil é o agente secreto por trás de filmes poderosos no Oscar

    março 14, 2026

    Com o filho Antonio na banda, Maria Rita estreia o segundo show em que canta o repertório da mãe Elis Regina

    março 14, 2026

    O tour de Wagner Moura: por onde ator passou e o que ele disse durante campanha ao Oscar

    março 14, 2026

    ‘Tem sido bonito ver pessoas falarem do Brasil’: Wagner Moura destaca repercussão internacional de ‘Agente Secreto’

    março 14, 2026

    Barroso autoriza Marcos Valério a cumprir pena no regime semiaberto

    setembro 16, 2024

    STF perdoa pena de mais dois condenados no mensalão do PT com base no indulto de Temer

    setembro 16, 2024

    Ministro do STF nega revisão de pena para Ramon Hollerbach no mensalão do PT

    setembro 16, 2024

    STF concede liberdade condicional à ex-presidente do Banco Rural Kátia Rabello

    setembro 16, 2024

    Homem morre carbonizado após carro bater em caminhão e pegar fogo na BR‑153

    março 14, 2026

    Indústria de novelas do Brasil é o agente secreto por trás de filmes poderosos no Oscar

    março 14, 2026

    Emboscada digital: entenda investigação que apontou marido como autor do assassinato de merendeira no Tocantins

    março 14, 2026

    Corpo é encontrado boiando próximo à Praia da Graciosa, em Palmas

    março 14, 2026
  • Nossa Cidade
  • Locutores
  • Programação
  • Fale Conosco
Dois Irmãos FM
Home»Tocantins»Gato que levou tiro na perna morre após passar por duas cirurgias: ‘Não aguentou’
Tocantins

Gato que levou tiro na perna morre após passar por duas cirurgias: ‘Não aguentou’

novembro 10, 2024Nenhum comentário0 Visitas

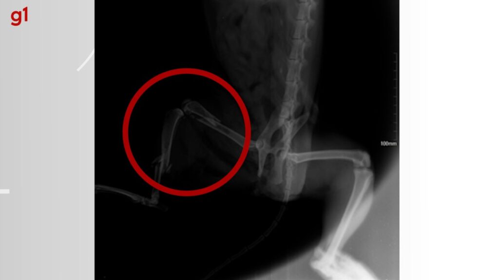
Tutora chegou a fazer vaquinha e empréstimo para pagar tratamento. Romeu sofreu duas fraturas e bala atravessou membro. Romeu levou um tira na perna direita e fraturou dois ossos
Reprodução/Arquivo pessoal
O gatinho Romeu morreu neste domingo (10), horas depois de passar por duas cirurgias. O felino teve a pata quebrada em dois lugares após ser atingido por um tiro que atravessou o membro. O caso aconteceu em Paraíso do Tocantins.
📱 Participe do canal do g1 TO no WhatsApp e receba as notícias no celular.
Romeu foi baleado na madrugada de sábado (9), no setor Jardim América. A tutora dele, Alessandra Nascimento, de 21 anos, registrou a ocorrência 9ª Central de Atendimento da Polícia Civil.
O gato, de três anos de idade, ficou em observação após passar pelas cirurgias e colocar placa em um dos ossos. Por conta dos machucados internos, Alessandra foi informada que as próximas 24 horas da recuperação de Romeu seriam decisivas.
Na manhã deste domingo, a tutora recebeu a notícia através de uma ligação do veterinário.
“Quando ele pediu para me ligar, senti muito frio na barriga. E quando disse que não era uma boa notícia, já comecei a chorar muito. Ele disse que não resistiu, pois, além da cirurgia ser bem delicada como foi, tinha o ferimento interno. Romeu não aguentou, mas sei que ele está em um lugar melhor”, afirma Alessandra.
Raio-x mostra fraturas do gato após levar um tiro na perna
Reprodução/Arquivo pessoal
Alessandra chegou a pedir ajuda nas redes sociais e fez um empréstimo bancário para custear o tratamento de R$ 3,1 mil.
Segundo a tutora, há cerca de um ano, o cachorro de seu sogro também morreu vítima de tiro na mesma rua.
As investigações do caso devem continuar para identificar o autor do disparo e a motivação do crime.
Veja mais notícias da região no g1 Tocantins.

Fonte: G1 Tocantins

Compartilhar. Facebook Twitter Telegram Email Copy Link WhatsApp

Mais Notícias

Homem morre carbonizado após carro bater em caminhão e pegar fogo na BR‑153

março 14, 20260 Visitas

Emboscada digital: entenda investigação que apontou marido como autor do assassinato de merendeira no Tocantins

março 14, 20260 Visitas

Corpo é encontrado boiando próximo à Praia da Graciosa, em Palmas

março 14, 20260 Visitas
BANNER LOCAL LATERAL
Top Posts

Existe código de vestimenta no Grammy? Questionamento surgiu após Bianca Censori, mulher de Kanye West, aparecer nua na premiação

fevereiro 8, 202550 Visitas

Médico é suspeito de invadir carro e agredir delegado aposentado durante confusão no trânsito

setembro 19, 202437 Visitas

Lucas Lucco mostra o pênis em vídeo tomando banho, apaga post e diz ‘foi mal’

dezembro 18, 202436 Visitas

Legendários: Por que homens pagam até R$ 81 mil para subir montanha e melhorar casamento?

abril 8, 202514 Visitas
Siga-nós
Facebook Instagram YouTube WhatsApp TikTok
Nosso App
© 2026 Rádio afiliada a Farcom Tocantins - www.farcomto.org

Digite acima e pressione Enter para pesquisar. Pressione Esc para cancelar.